Современная эстетическая стоматология — одна из бурно развивающихся отраслей стоматологической практики. Именно в данной сфере происходят заметные изменения, разрабатываются новейшие материалы и технологии. Одним из новшеств являются фарфоровые или керамические зубные виниры, имеющие доступную для многих стоимость и позволяющие добиться высокой эстетики в процессе устранения дефектов улыбки.
Итак, что же такое виниры на зубы, какие цены на них установление и в каких ситуациях они рекомендованы к применению?
Это — тонкие керамические пластинки, которые с помощью специального клея приклеиваются на фронтальную поверхность зубов. Таким образом, удается полностью восстановить эстетику улыбки, поскольку по цвету пластинки копируют эмаль натурального зуба.
 
Чтобы сделать виниры, потребуется как минимум два визита к врачу нашей клиники:
- 
На первом посещении стоматолог подготавливает зуб к установке пластины, для этого он снимает 0,3-0,7 мм эмали, что существенно меньше, чем требуется для установки коронки. После этого специалист делает слепок и передает его в лабораторию;
 - 
В ходе второго посещения врач фиксирует конструкции при помощи супернадежных композитных материалов, которые по силе крепления сравнимы с фиксацией естественной эмали на дентине.
 
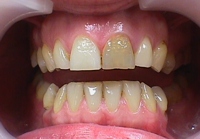
Обязательно, когда устанавливаются виниры, делается фото до и после операции, что позволяет и пациенту, и врачу оценить качество проделанной работы.
Если сравнивать с другими методами эстетической стоматологии, то голливудские виниры на зубы, имея стоимость в разумных пределах, позволяют эффективно устранить такие дефекты, как:
- 
Травматические сколы эмали, нарушающие красоту зубного ряда;
 - 
Разнообразные не кариозные поражение на ранних и поздних стадиях развития;
 - 
Изменение цвета эмали, ставшее результатом депульпирования и не поддающее отбеливанию.
Преимуществами данного метода восстановления является то, что керамические и фарфоровые виниры не меняют цвет, не окрашиваются от чая или кофе, имеют гладкую поверхность, на которой не скапливается налет, они прочны и надежны. 
КЕРАМИЧЕСКИЕ ВИНИРЫ:
В клинике «Бутик Стоматологии» в Москве Вы сможете не просто узнать, сколько стоят виниры, но и воспользоваться услугами квалифицированных специалистов, имеющих богатый опыт проведения процедур в области эстетической стоматологии.
| до | после | 
![]()  | 
![]()  | 
![]()  | 
![]()  | 
![]()  | 
![]()  | 
![]()  | 
![]()  | 
![]()  | 
![]()  | 









